セラミック治療

美しく健康的な口元に導く

美しく健康的な口元に導く

セラミック治療は、むし歯や歯周病の治療などの機能回復に加えて、セラミック素材を用いて見た目の美しさや機能性の向上を目的とした治療です。「歯の色や銀歯が気になり人前で口元を隠してしまう」とお悩みの方もいるのではないでしょうか。

当院では、ご希望の予算や見た目をお伺いし、豊富なつめ物・かぶせ物からお口の状況に合ったセラミック素材をご提案いたします。「口元にコンプレックスがある」「思い切り笑えない」などのお悩みのある方はお気軽にご相談ください。

こんなお悩みはありませんか?

  • 金属のかぶせ物が見えていないか心配
  • つめ物・かぶせ物の色合いが気になる
  • インプラントやブリッジに抵抗がある
  • 見た目のバランスが悪い
  • 歯と歯の隙間が気になる
  • 金属アレルギーがある

セラミックの特徴

天然歯のような白さと透明感がある

セラミックは陶器でつくられた素材で、天然歯のような自然な白さと透明感があります。

白さ・美しさが長持ちする

セラミックは汚れがつきにくく、劣化しにくい素材のため、自然な白さや透明感が長持ちします。

2次むし歯のリスクが低い

セラミックは劣化しにくい素材で、金属性の素材のように細菌が入り込またないため、2次むし歯のリスクが低くなります。

金属アレルギーの心配がない

セラミックは金属を含まない素材のため、金属アレルギーの心配がありません。

歯茎が黒ずむリスクがない

金属性の素材の場合、溶け出した金属イオンにより歯茎が黒ずむことがありますが、セラミックは金属を含まないため、黒ずむリスクはありません。

当院の歯科素材

オールセラミック(インレー・クラウン)

オールセラミック(インレー・クラウン)

セラミックのみでつくられているつめ物、かぶせ物です。天然の歯に近い色や艶があるため、再現性が高く審美性に優れています。また、歯との適合性が高く、劣化しにくいため、治療後に隙間からむし歯になりにくい特徴があります。

メリット

  • 生体親和性が高く、2次むし歯のリスクが少ない
  • 白く透明感があり、自然な見た目に仕上がる
  • 変色のリスクがほとんどない
  • 金属アレルギーの心配がない

デメリット

  • かむ力が強い場所だと割れる可能性がある
  • 保険が適用されない
ジルコニア(インレー・クラウン)

ジルコニア(インレー・クラウン)

人工ダイヤモンドと呼ばれるほど強度が高い素材でつくられているつめ物、かぶせ物です。強度が高いため、かむ力が強くかかる奥歯などにも使用できます。また、歯との適合性が高く、劣化しにくいため、治療後に隙間からむし歯になりにくい特徴があります。

メリット

  • 生体親和性が高く、2次むし歯のリスクが少ない
  • 耐久性が高く、奥歯にも使用できる
  • 変色のリスクがほとんどない
  • 金属アレルギーの心配がない

デメリット

  • オールセラミックよりは審美性が劣る
  • 天然歯より硬いため、周りの歯を傷つける可能性がある
  • 保険が適用されない
ジルコニアセラミック(クラウン)

ジルコニアセラミック(クラウン)

内側部分にジルコニアを使用し、上からセラミックを焼き付けてつくられた素材で、ジルコニアとセラミック両方の特徴があります。

メリット

  • 生体親和性が高く、2次むし歯のリスクが少ない
  • 白く透明感があり、自然な見た目に仕上がる
  • 耐久性が高く、長期間使用できる
  • 変色のリスクがほとんどない
  • 金属アレルギーの心配がない

デメリット

  • 天然歯より硬いため、周りの歯を傷つける可能性がある
  • 保険が適用されない

治療の流れ

STEP01

検査

顔貌写真・口腔写真・歯牙模型の作製をおこない、患者さまの好みや自然に見える口元などを確認します。

STEP02

治療計画・相談

検査結果をもとに患者さまのお口の状態に合わせた治療計画の立案とご相談をおこないます。
患者さまがお考えの口元の好みなどのご要望をお伝えください。

STEP03

プラン提示

模型を活用し、術後の口元の確認をおこないます。

STEP04

仮歯の装着

歯の型をとり、かぶせ物の土台とするために歯を削ります。
かぶせ物ができるまでの間は仮歯を装着いただきます。

STEP05

かぶせ物の制作

歯の型をもとに患者さまの要望に添った素材を用いてかぶせ物を制作します。

STEP06

かぶせ物の装着

仮歯を完成したかぶせ物に変更し、色調や形態、かみ合わせなどの調整をおこないます。

STEP07

メンテナンス

施術して終わりではなく、お口の健康を維持することが大切になりますので、定期的なメンテナンスをおすすめしています。

症例のご紹介

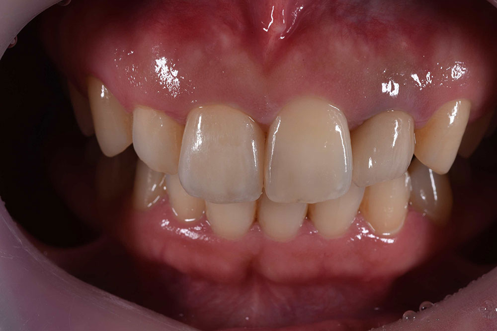
術前の写真
術前
術後の写真
術後
治療内容 前歯にセラミッククラウンを装着しました
治療期間・
回数
1カ月前後・3回
費用
※自由診療となります
100,000円
リスク 天然の歯を削る量が多い

料金表

つめ物(インレー)/費用 費用

セラミックインレー

セラミック素材のつめ物です。天然歯のような透明感と白さで、美しく自然な見た目に仕上がります。
金属不使用のため、金属アレルギーのある方も不安なく使用いただけます。
また、歯との適合性が高く、劣化しにくいため、2次むし歯のリスクが少ない特徴があります。

55,000円

ジルコニアインレー

人工ダイヤモンドと呼ばれる強度のある素材を使用し、奥歯に使用できるほか、長期間使用しても変色するリスクがほとんどありません。
また、歯との適合性が高く、劣化しにくいため、2次むし歯のリスクが少ない特徴があります。

55,000円

ゴールドインレー

金合金のインレーで天然歯に近いしなやかさをもちます。
かみ合う歯を痛めることも少なく、奥歯に最適です。
また、歯との適合性が高く、劣化しにくいため、2次むし歯のリスクが少ない特徴があります。

88,000円

※費用は全て税込み表記です。

かぶせ物(クラウン)/費用 費用

セラミッククラウン

セラミック素材のかぶせ物です。金属不使用のため、歯茎の黒ずみや金属アレルギーの心配がなく、色調を細かく調整できるなど審美性に優れます。
また、歯との適合性が高く、劣化しにくいため、2次むし歯のリスクが少ない特徴があります。

前歯部 110,000円
臼歯部 77,000円

ジルコニアクラウン

セラミッククラウンよりも透明感は劣りますが、強度が高く、金属と同じくらいの硬さをもつため、破損するリスクが低い特徴があります。
また、歯との適合性が高く、劣化しにくいため、2次むし歯のリスクが少ない特徴があります。

77,000円

ゴールドクラウン

金合金のクラウンで天然歯に近いしなやかさをもちます。
生体親和性が高く、かみ合う歯を痛めることも少なく、奥歯にも使用できます。

110,000円

※費用は全て税込み表記です。